Grieves - below are a whole lot of specific answers to you, but let's cut to the chase - there is no doubt that too much fluoride can be bad - just like too much of anything.
as far as I know all the examples you (or anyone else) have ever given of harm are from high concentrations of fluoride well in excess of current artificial levels.
Dental flourosis is an issue effecting the entire continent. It's a result of excess fluoride in the developmental stages of early childhood. The connection between dental fluorosis and fluoridated water is not in question.
that is exactly your point - YOU brought up dose, YOU brought up prescriptions, YOU are making the discussion that the AMOUNT of fluoride matters (since people take in different amounts...)
Of course the amount of fluoride matters. As you just said, "there is no doubt that too much fluoride can be bad - just like too much of anything." My point is that fluoride is unquestionably being put in our drinking water as medication, and it's the only medication I'm aware of in which individual dose isn't a consideration. I don't really understand what you're arguing here.
it does not threaten the dental health of anyone! "it negatively impacts the self-esteem of thousands of children" - does it?
do you have ANY evidence for these claims?
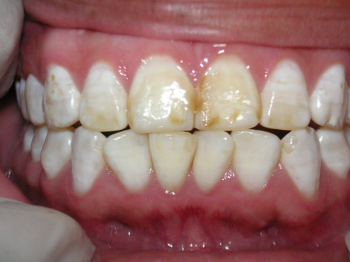
...huh..? Dental fluorosis, in more serious cases, leads to pitting, chipping, and cracking of teeth. This is of course a major problem for a persons dental health. And yes, of course dental flourosis negatively impacts the self-esteem of children, just as any unsightly condition negatively impacts the self-esteem of children. I myself have very mild dental fluorosis, which manifests as pale blotches on my two front teeth. Though I was never overly affected by this, it did leave me hesitant to smile in the company of girls for quite some time as a kid. I was indeed actively embarrassed at times by the state of my teeth, and I had a most mild case. Now imagine going through childhood with teeth like this.
This isn't even a particularly severe case. How could that
not negatively effect the self esteem of a child, especially in today's world, where a white smile is treated as though it were essential? Still, don't take my word for it.
"The perceived opinion that dental fluorosis is only and properly diagnosed by trained examiners was not supported in this study as children not only detected the presence of something abnormal in their teeth but also reported feeling embarrassed ("a lot of embarrassment" to "a little bit": 64%), worried ("very worried" to "somewhat worried": 70%), and avoided smiling ("a lot" to "somewhat": 59%) due to their dental fluorosis stains."
SOURCE: Tellez M, et al. (2012). Dental fluorosis, dental caries, and quality of life factors among schoolchildren in a Colombian fluorotic area. Community Dental Health 29(1):95-99.
"Mild and moderate dental fluorosis had a negative aesthetic effect on the studied population, leading to a strong desire to seek dental treatment to change the appearance of affected teeth."
SOURCE: Gleber-Netto FO, et al. (2011). Assessment of aesthetic perception of mild and moderate dental fluorosis levels among students from the Federal University of Minas Gerais-UFMG, Brazil. Oral Health & Preventive Dentistry 9(4):339-45.
""The key finding to emerge from this study was the negative psychosocial impact reported by some children with untreated enamel defects . . . . Over half of the children stated that they had been subject to unkind remarks about their teeth by their peers. A number of children described a reluctance to smile or a lack of confidence. . . . . [Enamel defects] had an impact on individuals' whose sense of self was defined by appearance and who depended on approval from others about their appearance. These young people saw the appearance of their teeth as a threat to their sense of self although, in some cases, the defects on the teeth were normatively assessed as being of mild severity. . . . The variation between individuals and lack of relationship with severity found in this study has implications for discussions on the impact of fluorosis. In the York Review, fluorosis was considered an adverse effect of fluoridation and fluorosis of TFI greater than or equal to 3 was classified as being of 'aesthetic concern.' This study provides some evidence that for some young people with TFI greater than or equal to 3, fluorosis is of no concern but may be for others with lower TFI scores."
SOURCE: Marshman Z, et al. (2008). The impact of developmental defects of enamel on young people in the UK. Community Dentistry & Oral Epidemiology 37:45-57.
"As found in previous studies, it is clear that the present lay observers were able to distinguish different levels of fluorosis when shown photographs of teeth. . . . Acceptability fell as fluorosis increased for the 'teeth' images, especially when fluorosis became more severe (TF3 and TF4). . . . The pupils' feedback was extremely useful, revealing that they believed the 'marks' on the teeth to be due to poor oral hygiene, despite a preliminary tutorial which indicated this was not the case."
SOURCE: Edwards M, et al. (2005). An assessment of teenagers' perceptions of dental fluorosis using digital stimulation and web-based testing. Community Dentistry & Oral Epidemiology 33:298-306.
Or maybe just do some independent research on the subject. It seems, by the bent of your questions, that you haven't examined the full scope of the issue.
Indeed they are not - but the fluoride component that actually affects teeth IS exactly the same.
Sure... but is it safe to assume that it and the other components of the compound aren't effecting other organs of the body in other ways? Because that's the way the science surrounding the advocacy of fluoridated water seems to work. Assume it's having no other effects until it's conclusively proven, with a level of testing and research that was never done to confirm the safety of the substance, that it's having another effect... and dismissing all reports that don't meet these standards which are far higher than those for which the safety of the substance was tested.
Indeed -
here is your map and the associated links to skeletal fluorosis that show that dose is important - AND THAT 1MG/L IS NOT AN ISSUE! At 1mg/L you do not get enough to affect anything unless you're drinking enough ater to
I asked is there really an ethical issue...
Skeletal fluorosis is not a major issue in the united states / most developed countries, whether they employ fluoridation or not. I pointed out the correlation between skeletal fluorosis and naturally fluoridated water because you seemed to be suggesting fluoridated water was harmless because it's natural in some regions.
All you evidence for fluoride doing harm is for massively large doses - including from water with naturally high fluoride at much higher levels than artificial fluoridation.
Incorrect. Dental fluorosis does not require 'massively large doses' of fluoride, and the threshold for children, as in how much fluoride they can ingest before dental fluorosis is likely to occur, is different between individuals, with considerations like weight, activity, sex, race, and health all influencing factors. Dental fluorosis does cause harm.
And I gave links to show that mass medication that has no down side is commonly practiced and ethically allowable - there is none AFAIK that supports the idea that there is any harm from 1mg/l water fluoridation
no, you gave links to essential nutrients that are put into food-products as a preventative measure against nutrient deficiencies.
And no-one said they are....sheesh!
You just did. Right here.
And I gave links to show that mass medication that has no down side is commonly practiced and ethically allowable
This comment was in reference to this:
there are other medications that are administered in food staples -
eg iodine in salt, folic acid in flour/bread, Vitamin D in cereal, Vitamin C in drinks, Vitamin B3 in grits and many others. The ethics are actually relatively well established and it isn't actual much of a problem at all.
In both comments you're referring to essential nutrients as medications. The very article you link, on the other hand, bears the headline: "Should we be fortifying food with Nutrients?" There are indeed those who consider the policy mass medication. I'm not among them. Seemingly you are, but are all for mass medication... which is odd.