Alien Bodies at a Mexican UAP Hearing

Thank you!

☑ no chain of custody documented
☑ result not published
☑ laboratory NDA upheld

If I was a conspiracy theorist, I'd suspect a coverup, but since I'm not, I simply suspect...

More importantly, most reputable labs in the US would adhere to NAGPRA and only perform tests on indigenous remains IF it is clear they were obtained in a professional manor with consent of the indigenous population that may related to the remains. Very old remains, such as Kennewick Man can create a bit of a grey area with arguments from both sides, but in general if there is the possibility of looting and/or postmortem assemblage (Gaff making) involved, no one is going to touch it.

Mexico and Peru may have different standards, but as you point out with no provenance, no peer review of the results and a commercial NDA, it's largely useless. The test could have been performed on anything from a 1000 years ago.
 
4) There are at least 25 of these mummies known to be at large. Is there a modern workshop where someone is assembling these bodies out of dozens of ancient mummified children; hacking them apart and assembling them to look like aliens?
To answer this question, a new claim has appeared:
External Quote:
With regard to the fake alien bodies manufactured in Peru, sources stated the bodies were part of a production line, a factory as it was called, that was based in Palpa and not Nazca. A well-funded and supplied factory of animal and human body parts creating deceit and confusion.
 
Mexico and Peru may have different standards, but as you point out with no provenance, no peer review of the results and a commercial NDA, it's largely useless. The test could have been performed on anything from a 1000 years ago
Bodies mummified by dry air have quite frequently been found in the Andes, and it seems quite probable that not all have been reported to scientists for study. That might be a likely source of some of the bones used in the construction of these fakes, and probable that they would have been used for the samples sent for radiometric dating. The "thousand year" date could well be legitimate, even if the whole construction is not.
 
This is beyond ghoulish, even for UFO hoaxers...breaking up, what reads to me, a 1000 year old pair of kids, stuffing them back together with bean paste and shoving a llama head on them...I hope this guy gets raked through the coals, again, and especially by other Ufologists.
 
As far as I know monotremes lay eggs and lactate, but they don't have nipples.

https://en.wikipedia.org/wiki/Monotreme
My fault for making the statement:
I'm unaware of any bipedal egg layers so exactly how would Benitez know this is a "normal physiological response"?
Without clarifying I meant bipedal mammals and more specifically bipedal hominids. I guess if a human like species evolved from monotremes maybe they would still lay eggs and not have nipples?

If you're cobbling together creatures from assorted parts and species, egg laying bipedal quasi hominid aliens are completely possible.
 
the following video is another breakdown of a debunk for these "aliens" on reddit the video goes over alot of points you all have already gone over in a bit more detail just thought this would be useful if its already been posted ill delete
"THE ET CORPSES WERE DEBUNKED WAY BACK IN 2021"
Actually those conclusions were published way before. That video was published in March 2021 and compiles the analyses made by different anthropologists since 2017. This is the list of professionals:
  • Stanislav Drovyshevsky, Anthropologist, associate professor of Anthropology at Moscow State University.
  • Aleksey Bondarev, Paleontologist, member of the Russian Geographical Society and member of the Russian Society of Paleontology.
  • Maria Mednikova, Anthropologist, PhD in Historical Sciences and director of research in Physical Anthropology at the Institute of Archaeology of the Russian Academy of Sciences.
  • Flavio Estrada Moreno, Forensic archaeologist, founding member of the Institute of Legal Medicine and Forensic Sciences of the Peruvian Ministry of Public Prosecution.
  • Julien Benoit, PhD in Paleontology from the Université de Montpellier and Researcher at the Institute of Evolutionary Studies at the University of the Witwatersrand.
  • Rodolfo Salas-Gismondi, D. in Paleontology from the Université de Montpellier and Research Associate at the American Museum of Natural History in New York.
How do I know this?
I collaborated on the making of this video by providing the images and the conclusions. The video was made by the project Anthropogenesis (I collaborate for this project). I published all this in Spanish, first in YouTube and then in a Peruvian website through a series of articles (Google Translator works well). Unfortunately, these videos/articles never drew massive attention, it was always overshadowed by the the massive reach of the hoaxers in social media... There had to happen this scandal in the Mexican congress for these conclusions to finally get more attention...


Source: https://www.youtube.com/watch?v=Flvoy0jbgc0


Source: https://www.youtube.com/watch?v=-DmDHF6jN9A


Source: https://www.youtube.com/watch?v=3v2JRGIVvfo
 
Last edited:
Here is a scientific analysis of the bodies. It concluded the head resembles a llama.
External Quote:
The 2016 finds of Palpa, Ica, Peru, assumed to be archaeological in nature, recently received due attention by the scientific community. To help clarify the issue, the current study aims to scientifically examine, through CT-scan analysis, the skull of one of the small bodies, and compare it to the braincase of llamas and alpacas, which are common animals of Ica, Peru. To this end the skull was divided into many sections and a detailed analysis was performed for each one of them. It was shown that the head of the small body is largely made of a deteriorated llama braincase and other unidentified bones, and greatly resembles the human cranium. Specifically, the remains of the skull were shown to be of biological nature, consisting of very thin greatly deteriorated bone with parts such as the mouth plate that could not be identified and recognized. Hence, the obtained results offer a new perception of the lama deteriorated braincase physiology and its resemblance to a human-like face. An additional examination of the neck of the body was also conducted, showing that there are three cords in the neck that may either be actual veins or vegetable strings or intestines for fixing purposes. Based on the above, it seems that the finds are constructions of very high quality. This makes one wonder how these have been produced hundreds of years ago (based on the C14 test). It must be said that the current study is limited by the low CT-scan resolution and the lack of more comparisons with other small bodies craniums. Consequently, more tests with C14, DNA, CT-scans at higher resolutions, and even an autopsy are needed for extracting rigid conclusions. Such work has been undertaken by the San Luis Gonzaga National University of Ica, where the finds remain.
 
Last edited:
How do I know this?
I collaborated on the making of this video by providing the images and the conclusions. The video was made by the project Anthropogenesis (I collaborate for this project). I published all this in Spanish, first in YouTube and then in a Peruvian website through a series of articles (Google Translator works well). Unfortunately, these videos/articles never drew massive attention, it was always overshadowed by the the massive reach of the hoaxers in social media... There had to happen this scandal in the Mexican congress for these conclusions to finally get more attention...

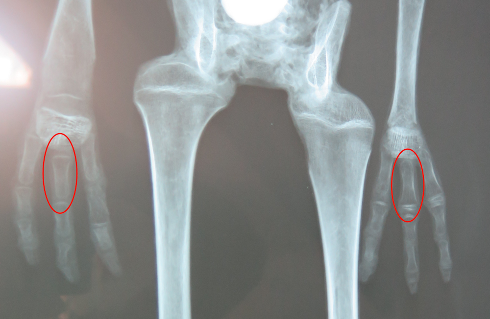
Thanks for your work. There are lots of smoking guns, any one of which destroys these mummies, but my favorite is Josephine's hands with the mixed up backwards fingerbones (two are highlighted below, X-ray taken from Antropogenez critical review).

On the Alien Project website where they have all the videos of scientists presenting this case to the Peru Congress in 2018, the first video is from the radiologist but they only talk about Maria and another case, not Josephine & Albert (the tiny aliens). The Scientists Against Myths video [timestamped] explains that Dr Korotkov, in his book and in correspondence, dismissed the x-rays as "not sufficient for any sound conclusions" although it's not clear if he's referring to the four hands, to Maria, or to the little aliens (or all of them).


1694841423109.png
 
Here is a scientific analysis of the bodies. It concluded the head resembles a llama.
External Quote:
. The main author is Jośe de Cruz Ríos Lopez, a biologist who has been collaborating for several years with the main promoter of this hoax: Jaime Maussan.

Actually is not the most recommendable one. The author is Jose de la Cruz Rios who also endorsed the Roswell Slides that Maussan presented in a pay-per-view show (hoax) under the name Bewitness in 2015.
This "paper" was published in a journal called Iaras, this journal is of very dubious reputation. Its name appears on the updated Beall's list of predatory journals. That "journal" almost lacks peer review.
Why did José de la Cruz Ríos publish this paper?
Everything seems to indicate that the real intention was to publish the "first paper on the tridactyl mummies of Nazca".... well, the biologist does not know English, so draw your own conclusions.
The co-authors of the publication in question are Georgios A Florides and Paul Christodoulides. Both achieved some notoriety in academia with an article questioning global warming that Elsevier's Renewable and Sustainable Energy Reviews retracted in 2017. Elsevier's publisher withdrew the publication for plagiarism, although several academics had warned - for three years - that it also contained multiple errors in its argumentation. Paul Christodoulides co-authored a peculiar piece of research published by one of the IARAS journals in May 2020. The article argues that a series of photographs taken during the Apollo 11 mission on the Moon were actually taken in a photographic studio.
Nowadays, José de la Cruz Ríos spread his collaborations with Jaime Maussan around esoteric youtube channels, AM stations, giving interviews and promoting the fraud.... He corrects his own paper when asked about it. By the way, he was also present at the Mexican congress hearing, but he was not a speaker.
If you are interested in reading a paper, I recommend you to read this one published by Springer. On December 5, 2020 Springer published The Handbook of Mummy Studies, a monumental work of more than a thousand pages on the study of mummies. This publication had the cooperation of the best specialists in the study and conservation of human remains.
 
Last edited:
Thanks for your work. There are lots of smoking guns, any one of which destroys these mummies, but my favorite is Josephine's hands with the mixed up backwards fingerbones (two are highlighted below, X-ray taken from Antropogenez critical review).

On the Alien Project website where they have all the videos of scientists presenting this case to the Peru Congress in 2018, the first video is from the radiologist but they only talk about Maria and another case, not Josephine & Albert (the tiny aliens). The Scientists Against Myths video [timestamped] explains that Dr Korotkov, in his book and in correspondence, dismissed the x-rays as "not sufficient for any sound conclusions" although it's not clear if he's referring to the four hands, to Maria, or to the little aliens (or all of them).


View attachment 62661
The full story is as follows: In September 2017, Korotkov contacted Antrogenez, sent them more than 1 GB containing photos of radiographs and some ct-scans (of very poor quality). The case was still crossing borders and they required the opinion of professionals to vouch for the authenticity of these bodies. Antropogenez received the material, referred it to specialists in Anthropology and Paleontology, then sent the results of these analyses via email to Korotkov, warning him that this was a gross fraud. Korotkov ignored the emails and warnings from Antropogenez and only responded with the phrase that appears in the video.
 
I think there must be some doubt about "Josephine's egg" being able to pass through the pelvis intact.

-But it's almost irrelevant; the information already posted by others surely leads to the conclusion that the remains presented at the Mexican UAP hearing are grisly fakes, promoted by men of questionable reliability.
 
I think there must be some doubt about "Josephine's egg" being able to pass through the pelvis intact.

-But it's almost irrelevant; the information already posted by others surely leads to the conclusion that the remains presented at the Mexican UAP hearing are grisly fakes, promoted by men of questionable reliability.
Right, this may sound funny but the "specialists" who collaborate with Maussan say that the eggs hatch inside and the "baby" comes out intact.
 
Right, this may sound funny but the "specialists" who collaborate with Maussan say that the eggs hatch inside and the "baby" comes out intact.

How would they have the slightest idea? I don't want to disparage the institutions these guys are part of like the Mexican Navey (Benitez) or UNAM (Romero) but at what point are they just pull stuff out of their backsides?

Of course it is better to do the sorts of analysis done here and elsewhere and to prove it, but my word how did anybody fall for these in the first place?

That's the question. We have Maussan, Benitez and Cruz Rios with a completely shameless do-over of the 2015 Bewitness mummy and Roswell slide TV show. Is it for money? This time around there was no pay-per-view, just a presentation to the Mexican congress. Maybe for prestige? If it was in front of congress, it must be serious right? What serious forensic pathologist would look at this mash up and say "This is legit"? Do they really believe it's aliens?

I'm reminded of Billy McFarland of the Fire festival. In one of the documentaries about it, we see McFarland, having charged people thousands of dollars for a music festival he couldn't put on, stranding them on island, sticking them in "VIP" emergency tents with cheese sandwiches and facing fraud charges in NY, he's right back at it. Awaiting trial for the Fire festival debacle, he and his guys are on the phone hustling and selling VIP tickets they don't have to sporting events, concerts, Burningman and other events. I saw an interview with him maybe 6 months ago on Kennedy (Fox Buisness Channel). Now out of prison, he wants to redeem himself by putting on a...wait for it, a new Fire Festival.

Real, fake, questionable, it doesn't matter, never back down. If your brand is UFO's then you sell UFOs anywhere, any time and don't worry about the facts.

Most interesting.
 
Eggs??? How interesting.

One of the hallmarks of fakes aliens is their total lack of genitals. Must keep the aliens G-rated you know, to allow for the widest distribution of the pictures. These folks found the solution: eggs! Nice G-rated eggs, how clever.
 
Eggs??? How interesting.

One of the hallmarks of fakes aliens is their total lack of genitals. Must keep the aliens G-rated you know, to allow for the widest distribution of the pictures. These folks found the solution: eggs! Nice G-rated eggs, how clever.
You've clearly never seen a picture of a duck penis. :p

Hard-shelled eggs are meant to be deposited on something solid. Eggs laid in water, or not laid at all, have no reason to possess a hard shell.
 
Eggs??? How interesting.

One of the hallmarks of fakes aliens is their total lack of genitals. Must keep the aliens G-rated you know, to allow for the widest distribution of the pictures. These folks found the solution: eggs! Nice G-rated eggs, how clever.

Interesting point. Something similar came up in our thread about the Patterson-Gimlin film of a female Bigfoot.

IF the film was a hoax (and it most likely was) one of the possible monetary streams for it was 4-walling, that is, renting theaters throughout the country for showings of the film to middle America. While genital size in hominids is based on mating strategies and not physical size, such that large silverback gorillas have relatively small wedding tackle, the average late '60s middle American would not know this.

Therefore, they would have expected a male bigfoot to have bigfoot sized "junk". That would have been an issue if one was trying to sell large numbers of tickets to families to see a film that included a male Bigfoot with a Bigfoot sized dong. So, it was a female and even then her breast were covered in fur.

Maybe something similar here. Having aliens with eggs means they don't have to show aliens with their "junk".
 
There's also a quote attribed the Ryan Graves (double translated)
Article:
"The United States is in possession of ships and remains of non-human origin, the United States Congress has insisted time and again that the people have the right to know the truth, however, so far the Pentagon has not has allowed investigations to deepen and in fact wants to cancel any possibility of new public hearings being held in the United States Congress. "We have to promote scientific search and research to find a real solution to these issues." The ex-military man declared.


That would be interesting if he actually said that without qualifying it.

All publicly posted videos I could find thus far are overdubbed by a live translator to spanish. Redditor nibselfib_kyua_72 prepared the following semi-automated translation to english. It is similar to his US HOC testimony.

Article:
[Ryan Graves]

Thank you for coming to this public hearing for this topic that has been so stigmatized.

In regards to unidentified abnormal phenomena, we know very little about them, thanks to efforts like today's, we are beginning to see the change. My name is Ryan Graves, I am a former pilot of an F-18 within the army. And we have investigated this phenomenon as military pilots.

Now, there are 3 issues that draw our attention: first pilots who have been witnesses, we need our experience and pilots like me and others have shared experiences about this investigation, but they are afraid to share their story. Second, to understand these phenomena, information must be collected because all phenomena in the airspace are reported, they are not isolated, they are routine, both military and commercial pilots recognize and report these phenomena officially sometimes. And third, to investigate these phenomena, it is really important, especially if the pilots can share their reports.

We also collect a lot of the data of those who solve these mysteries and also this is a global phenomenon and the collaboration is important. It is important to keep all the information to understand this phenomenon. If we do not do it this way, if we do not do it with global cooperation, it will not be possible to understand them.

My story. In 2014, my squadron was in Oceana, Virginia beach. In our radar system we began to detect unidentified objects. At first, we thought it was something else, but then we asserted that with our systems and infrared systems, we couldn't verify its identity.

And on the [warning area] W 72 in Virginia beach, the objects were described as an object inside a dark cube and inside a circle. And that they were 75 ft in diameter and the instruction was to return to the base, but there was no official acknowledgement of this phenomenon and nothing was said then.

We were able to do different reports and different scans to get an understanding. We saw how the hurricanes also impacted our jets and many of these impacted on the east coast and many of these phenomena remained unknown. I believe that Americans deserve a safe airspace, our interest is to remove stigmas and reveal information.

I am proud and honored that more than 10,000 people have joined, anyone can join. I'm sure this is just beginning. In July, after I testified before the United States Congress and before other witnesses about these phenomena, we saw the lack of a safe process and many of those in attendance shared their accounts.

And we also talked on a case by case basis, depending on the interests of the witnesses and in case of the policies so that the investigation was possible, we had to talk with members of Congress and also with their staff in order to be able to achieve resolutions that would allow us to investigate these phenomena.

Commercial pilots are also very important. They have years of experience flying at 45,000 ft and they also saw objects that performed unusual maneuvers such as unusual turns and they saw unusual sightings. Many were looking for easy explanations. We are looking how to explain it, but the government has information that is reported but not evaluated and we have to learn from it.

Other witnesses are the veterans who have seen this phenomenon on their aircrafts. There are many, many witnesses. Many witnesses have been documented and evaluated by the United States Government, but the military, the United States, must do more to report these phenomena.

Last year there were more than 10,000. And this last year we had a lot of reports that were collected and we have a lot of witnesses who adhered to the reporting mechanisms. Now we are just scratching the surface, because there are a lot of witnesses who want to cooperate. Secure reporting is vital to be able to reveal the truth and government leaders must also talk about this in organizations like this one, and Mexico can learn from us.

First at the most fundamental level, data collection cannot be underestimated because there are many cases reported in the United States, this is also a challenge because it is a scientific opportunity, because there is a delicate balance in terms of who is responsible for this information. The U.S. military wants to keep this a secret, and despite the legislation of the 23rd, the President as head of the U.S. doesn't want to disclose these records indefinitely, so there are a lot of academic organizations and nonprofits that want to get involved.

I am happy to be at the forefront of the project and that is why we also have Stanford University, the Galileo project at Harvard and different sectors of the society that want to understand this phenomenon.

In closing, I recognize the skepticism about this issue, but the important thing is to evaluate and understand this data. And we must learn from the phenomena that occur in each of the places and I hope that more Mexican pilots share their reports and do so seriously.

The pilots are trained to observe the skies. If you see my account, I hope that you, along with other pilots, make these reports because we represent aerospace safety and I also believe that with scientific search and research we can find a solution to this dilemma. Thank you.

Certainly no mention of crashed alien craft or alien remains in his testimony. Mr Graves displeasure in response to the alien bodies "stunt" on Twitter has already been quoted in post #20 by Mr West.

Those responsible for this ghastly, ghoulish, depraved and despicable fraud have likely committed all manner of criminal offenses under multiple laws, not to mention the desecration of ancient human remains and relics. The chain of custody should be pursued through a criminal investigation (follow the money) by the Mexican and Peruvian governments, by getting each link in the chain to flip on the next.
 
Those responsible for this ghastly, ghoulish, depraved and despicable fraud have likely committed all manner of criminal offenses under multiple laws, not to mention the desecration of ancient human remains and relics.
I think you're letting your modern western sensibilities take over. Many people in central and South America have religious practices that are a blend of modern Christianity and the practices of their Aztec or Mayan ancestors, and would never apply the terms "ghastly, ghoulish, depraved" to handling or displaying human remains, nor call it "desecration". The figures are indeed frauds, but applying your own revulsion to the practice displays only your emotional reaction, not theirs.
 
Last edited:
I think you're letting your modern western sensibilities take over. Many people in central and South America have religious practices that are a blend of modern Christianity and the practices of their Aztec or Mayan ancestors, and would never apply the terms "ghastly, ghoulish, depraved" to handling or displaying human remains, nor call it "desecration". The figures are indeed frauds, but applying your own refulsion to the practice displays only your emotional reaction, not theirs.
Ann, I agree about trying to understand their cultural perspective. But you aren't considering that these are Peruvian mummies and they we're basically stolen by Mexican citizens. It would be the same for Brits stealing Egyptian mummies. It's wrong. And displaying is not as wrong as hacking corpses apart and combining them with animal parts. It is indeed vandalism and desecration.
 
Interestingly Jaime "mr Fraud" Maussan is facing some retaliation:

Ibc.co.uk link
Reuters link

Quote:
Peruvian officials, who insist the corpses are from Earth, have questioned the journalist about how the 'aliens' left the country and came into his possession.

Culture Minister Leslie Urteaga said they were looking into how the "pre-hispanic" bodies left Peru, adding that a criminal complaint has been filed against Mr Maussan.

Mr Maussan, 70, insists he is innocent.

"I'm not worried. I have done absolutely nothing illegal", he said, but could not explain how the corpses came into his possession.

He said he would reveal all "at an appropriate time."
 
Interestingly Jaime "mr Fraud" Maussan is facing some retaliation:

Ibc.co.uk link
Reuters link

Quote:

I don't think he cares. Remember, his Roswell alien slide was shown to actually be an old photo of a mummified indigenous child in a museum. Those remains had been repatriated and buried by the time Maussan was hosting his Be Witness pay-per-view charade where he showed the photo. Confronted with the truth, "head researcher" and UFOlogist Tony Braglia appoligiesed profusely for the screw up, but not Maussan. He claimed the issue was unsettled, the body was not human AND offered $10,000 to anyone that could go dig the child back up and give it to him for more pay-per-view shows research.

External Quote:
....it was actually the mummy of a two-year-old Puebloan boy removed from the cliff dwellings of Mesa Verde in 1894. Returned to a National Park museum in 1938, the boy was repatriated to a local tribe in 2015. Incredibly, Maussan then offered $10,000 for information that might permit the Puebloan boy's "location and recuperation."
https://www.bunkhistory.org/resources/the-racism-behind-alien-mummy-hoaxes

I think he operates in his own world and just doesn't care. Be interesting to see if the Peruvian government goes after the local people involved in Peru.
 
Those responsible for this ghastly, ghoulish, depraved and despicable fraud have likely committed all manner of criminal offenses under multiple laws,
I wouldn't be so sure. Contrary to what ppl may think (and what I used to think) in a lot of western countries, Stealing a corpse is a pretty minor crime (if it is a crime), and thus sometimes not punished. eg heres one of the most famous dead bodies stolen cases in the USA.
https://en.wikipedia.org/wiki/Gram_Parsons
To fulfill Parsons' funeral wishes, Kaufman and a friend stole his body from Los Angeles International Airport and in a borrowed hearse, they drove it to Joshua Tree. Upon reaching the Cap Rock section of the park, they attempted to cremate Parsons' body by pouring five gallons of gasoline into the open coffin and throwing a lit match inside; what resulted was an enormous fireball.

The two were arrested several days later. Since there was no law against stealing a dead body, they were only fined $750[57] for stealing the coffin and were not prosecuted for leaving 35 pounds (16 kg) of his charred remains in the desert. What remained of Parsons' body was eventually buried in Garden of Memories Cemetery in Metairie, Louisiana.
Theres been similar cases in NZ I can remember

Though I have no idea what the laws in the various South American countries.
 
When I was younger I went to see "Eugene" in Sabina, Ohio, an unknown man who was believed to be from Cincinnati, and who was found dead on the street one day.

External Quote:

Eugene was taken to the local funeral home, where he was embalmed and held for identification—an identification that was never made. For more than 36 years, Eugene rested on a couch in a small building behind the funeral home. When people got word of this strange display, they came from all over to see Eugene. Locals frequently gave directions to out-of-towners passing through. Over the years, millions of people from all over the country came to Sabina and observed Eugene, yet no one recognized him.

Eugene was finally buried after multiple disrespectful pranks were pulled with him. Locals even report that one night some college students stole the body and placed him on a park bench on campus.
https://www.onlyinyourstate.com/ohio/bizarre-event-90-years-ago-oh/

I notice there was no stronger word than "disrespectful" applied to his theft.
 
Ibc.co.uk link

External Quote:
Mr Maussan told Mexican Congress how scientists from the Autonomous National University of Mexico (UNAM) found "eggs" in one of the corpses...
...UNAM said they only dated the age of the corpses and were not involved in determining their origins.

This is terrible; it seems you can't even trust a grave-robbing UFOlogist to give an accurate account nowadays.

External Quote:
He said he would reveal all "at an appropriate time."
Maybe there should be Congressional Hearings, with immunity for the witnesses- that should settle things one way or another.
 
Contrary to what ppl may think (and what I used to think) in a lot of western countries, Stealing a corpse is a pretty minor crime (if it is a crime), and thus sometimes not punished.
Well, with the new mummies, there's also the issue of dismemberment. All I can say is, don't do it in Illinois:
Article:
According to Illinois law, dismembering a human body is a serious criminal offense. Regardless of how long the individual had been deceased or the relationship of the perpetrator to the individual, it is strictly forbidden to "sever, separate, dissect, or mutilate" any part of a deceased person's body. While exceptions do exist in particular circumstances, those who are found guilty of committing this criminal act face a Felony X charge, one of the most serious criminal charges in Illinois law.

If convicted of dismembering a human body, the penalties are incredibly severe, including mandatory minimum sentences of 6-30 years in prison and no possibility of probation.


For disturbing the rest of the dead (which includes vandalizing graves, stealing or mutilating corpses), you can get fined or sentenced to up to 3 years in Germany.
 
Interestingly Jaime "mr Fraud" Maussan is facing some retaliation:

Ibc.co.uk link
Reuters link

Quote:
Actually, from what I know, the Peruvian Minister of Culture is referring to another process that was opened last year. Not to the departure of the remains that were presented in Mexico.

The process that is in course is against two professors of the San Luis Gonzaga University of Ica who "claim" to lead an investigation on these remains for four years without finding traces of fraud. Yes, the most popular mummies that reached notoriety six years ago are currently in an office of that univesity. They "landed" there in a murky and irregular process four years ago.

This process is ongoing and the seizure of those 5 "mummies" is inminent. This is necessary to officially confirm the modifications on these pre-Hispanic remains. This formalism would allow opening processes to determine when these modifications were made, how they were made and who made them.

The two mummies presented in Mexico are two of the many that were produced and acquired by wealthy collectors and "believers" in aliens. Of course, this would also constitute another crime, that of trafficking of cultural goods.

I don't know the legislation in the US, but maybe the material that was uploaded to NCBI could also constitute a crime in the US... (fellony?) in any case, the US Attorney's Office may review that issue, well I don't know.
 
In the face of testing that shows the mummies are not aliens isn't the last gasp claim of high-strangeness here that they are cobbled together cargo-cult-esque representations of otherworldly beings that resemble those allegedly encountered by numerous witnesses over time? So isn't a question, who did it, and why make them look like that?
 
Last edited:
They just made them look like pop-culture aliens. But I'm always fascinated by the hands and feet in alien encounters. Because nobody really seems to pay attention to them - they tend to not be as consistently reported as the faces. The Roswell aliens, according to Glen Dennis, had four long fingers with suctions cups and no thumbs and no nails. These guys have three fingers and a thumb with nails. The alien from the Santilli alien autopsy had six fingers. Likewise sometimes they are naked and sometimes they are either wearing uniforms or jumpsuits. But these guys were mostly concerned with the face and having bones you can xray.
 
So I have another weird observation. Why are the mummies so straight? I mean look at the attached photo. If these were organic creatures the were lying down when they died or were laid to rest, their shoulders would be touching the ground and their chins would be forced to their chests because of the shape of their heads. It's why the Elephant man couldn't sleep normally...he'd break his neck. Obviously they were probably made to be displayed vertically or at least they made no attempt to follow a natural pose.
 

Attachments

  • alberto-entite-biologique.jpg
    alberto-entite-biologique.jpg
    70.8 KB · Views: 181
So I have another weird observation. Why are the mummies so straight? I mean look at the attached photo. If these were organic creatures the were lying down when they died or were laid to rest, their shoulders would be touching the ground and their chins would be forced to their chests because of the shape of their heads. It's why the Elephant man couldn't sleep normally...he'd break his neck. Obviously they were probably made to be displayed vertically or at least they made no attempt to follow a natural pose.
I don't have actual mummies to compare, to calibrate our expectations, but I expect the desiccation that goes along with mummification affects soft tissue differently than bones. I wouldn't want to infer the pre-mummification state of a body before desiccation without experience in the field.
 
They just made them look like pop-culture aliens. But I'm always fascinated by the hands and feet in alien encounters. Because nobody really seems to pay attention to them - they tend to not be as consistently reported as the faces. The Roswell aliens, according to Glen Dennis, had four long fingers with suctions cups and no thumbs and no nails. These guys have three fingers and a thumb with nails. The alien from the Santilli alien autopsy had six fingers. Likewise sometimes they are naked and sometimes they are either wearing uniforms or jumpsuits. But these guys were mostly concerned with the face and having bones you can xray.
"War of the Worlds", 1953. Aliens are shown with the suction-cup fingers. I didn't realize that description had been given with respect to Roswell.
IMG_0298.png
 
Oh yeah. There is a long convoluted story about Roswell mortician, Glenn Dennis meeting with an Army nurse who was forced to join in an autopsy. She gave him a sketch before she disappeared. Dennis finally came forward in the 90's with his story, had lost the napkin and redrew it. He also had an artist "fix" his drawing. So take a boatload of salt. Here are the images he produced.
 

Attachments

  • ufo07.jpg
    ufo07.jpg
    206.9 KB · Views: 204
I don't have actual mummies to compare, to calibrate our expectations, but I expect the desiccation that goes along with mummification affects soft tissue differently than bones. I wouldn't want to infer the pre-mummification state of a body before desiccation without experience in the field.
There are plenty of Peruvian mummies to look at. Even with them being posed and tied up, their poses are much more natural and less, "action figurey".
 

Attachments

  • Peruvian_mummified_male,_c.1200-1400_Wellcome_L0035649.jpg
    Peruvian_mummified_male,_c.1200-1400_Wellcome_L0035649.jpg
    283 KB · Views: 178
  • Detmold_Child.jpg
    Detmold_Child.jpg
    228.2 KB · Views: 209
  • 61d816bb3ef33f001823b5ca.png
    61d816bb3ef33f001823b5ca.png
    689.8 KB · Views: 154
Back
Top